OPU

Graphique principal – système OPU Dramiński
Page d'accueil/Échographes vétérinaires

Ovum Pick-Up

Système pour la procédure d’Ovum Pick-Up guidée par ultrasons

Dramiński – amélioration qualité génétique avec système OPU
Dramiński – système OPU pour échographes vétérinaires
Système Dramiński – contrôle ultrasons pour Ovum Pick-Up
Dramiński – kit OPU complet
Dramiński – système intégré, précision aspiration ovocytes
Dramiński – système Ovum Pick-Up vétérinaire
Ovum Pick-Up Dramiński – image 9
Monoblock Dramiński – reproduction grands animaux
Monoblock Dramiński – système OPU complet
Monoblock Dramiński – amélioration qualité génétique du troupeau
Dramiński – système OPU avec support
Dramiński – support OPU version 2
Opis produktu

Quelques mots sur l’Ovum Pick-Up (OPU)

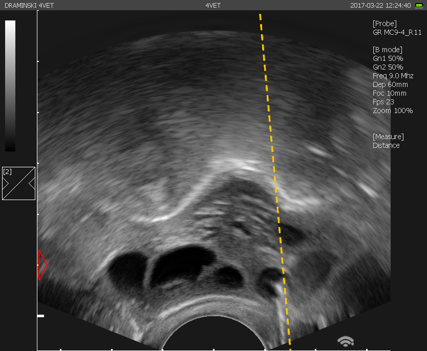
C’est l’une des techniques de reproduction assistée les plus rapides à se développer. Elle contribue à l’amélioration de la valeur génétique du troupeau. Elle est réalisée sur les donneuses de la plus haute valeur génétique afin d’augmenter le nombre de descendants par an. Pendant la procédure, l’opérateur utilise le guide OPU pour le prélèvement d’ovules de l’ovaire sous guidage échographique. La qualité des ovocytes est évaluée au microscope. Les meilleures cellules sont choisies pour la fertilisation in vitro. Après quelques jours, les embryons sont transférés aux receveuses. La procédure est considérée comme sûre et peut être répétée plusieurs fois.

Ovum Pick-Up Dramiński – reproduction chevaux et grands animaux
Formation – reproduction de grands animaux avec OPU Dramiński

Souhaitez-vous commencer par l’Ovum Pick-Up ?

Nous avons préparé une offre de formations avec des spécialistes de la reproduction assistée équine et bovine. Vous apprendrez la technique et comment mettre en place les stations OPU. Nos experts vous expliqueront les détails concernant l’échographie ainsi que la partie laboratoire. Nous coopérons avec des entreprises leaders qui fournissent des pompes à vide, des consommables et du matériel de laboratoire. Nous couvrons l’Europe, l’Amérique du Nord et du Sud, l’Asie, l’Australie et l’Océanie.

Multipurpose Draminski OPU guide

Pourquoi choisir le système OPU ?

Compatibilité

Plus

Compatible avec différents types d’aiguilles, des aiguilles d’injection 20G aux aiguilles à double lumière 12G, ainsi qu’avec une gamme complète de tubulures et de tubes nécessaires au processus de collecte de matériel.

Moins

Léger

Plus

Fabriqué en plastique léger et facile à nettoyer.

Moins

Rapidité

Plus

Rapide à assembler et à démonter.

Moins

Large champ de vision

Plus

Le champ de vision de la sonde échographique microconvexe est de 136 degrés.

Moins
Données techniques
Images
Dramiński OVUM PICK UP - nowoczesna technologia w diagnostyce reprodukcyjnej

Kit de travail essentiel:

Système Ovum Pick-Up
  • Rallonge OPU en deux parties
  • Poignée pour l’OPU
  • Embout pour aiguille conventionnelle avec connecteur de ligne
  • Embout avec verrouillage de sécurité de la ligne pour aiguille OPU avec raccord Luer
  • Embout pour aiguille OPU avec filetage
  • Stabilisateurs de tracé d’aiguille pour aiguilles bovines et pour aiguilles à double lumière
  • 6 vis à tête cruciforme, tournevis PH-1 et clé Allen